PAPALVOS
quinta-feira, 5 de setembro de 2013
Identificada molécula que inverteu déficies de aprendizagem da trissomia 21 em ratinhos
Lusa
e
PÚBLICO
05/09/2013 - 11:26
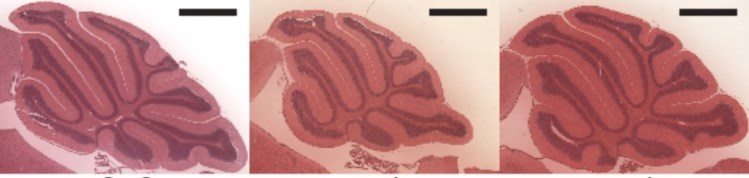
Crescimento do cerebelo foi normalizado e houve melhorias na aprendizagem e memória.
Cerebelo dos ratinhos tratados com a molécula: aumentou o tamanho das estruturas e a densidad
Sem comentários:
Enviar um comentário
Mensagem mais recente
Mensagem antiga
Página inicial
Subscrever:
Enviar feedback (Atom)
Sem comentários:
Enviar um comentário